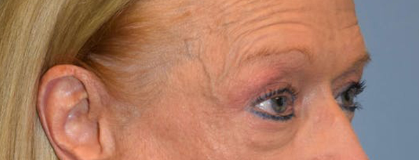
Upper and Lower Eyelid Lift with Fat Transfer
Surgeon: Dr. John Layliev
Patient ID: 188350
Gender: Female
Race: White
Before
After
Case Details
Before
After
A Journey at Your Pace
Every experience at North Shore Cosmetic Surgery begins with listening and moves at a pace that is right for you.
You’ll meet your surgeon in a private, thoughtful consultation designed around honesty, comfort, and understanding.


