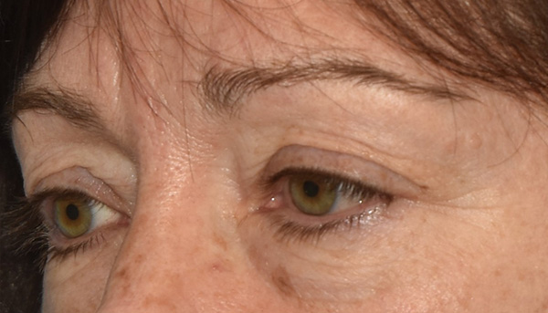
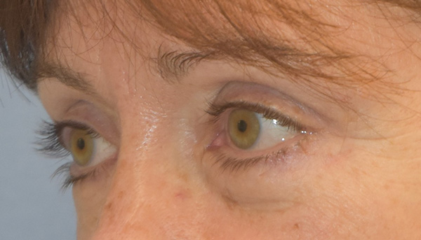
Eyelid Lift (Blepharoplasty) by Dr. James Romanelli
Surgeon: Dr. James Romanelli
Patient ID: 417811
Before
After
Before
After
A Journey at Your Pace
Every experience at North Shore Cosmetic Surgery begins with listening and moves at a pace that is right for you.
You’ll meet your surgeon in a private, thoughtful consultation designed around honesty, comfort, and understanding.


